近日,我校兽医学院重大动物疫病防控团队张桂红教授课题组在国际病毒学权威杂志Journal of Virology在线发表了题为“PSMB4 Degrades the Porcine Reproductive and Respiratory Syndrome Virus Nsp1α Protein via Autolysosome Pathway and Induces the Production of Type I Interferon”的文章(链接:https://journals.asm.org/doi/10.1128/jvi.00264-23),发现宿主蛋白PSMB4与PRRSV Nsp1α蛋白相互作用,靶向Nsp1α蛋白的K169位点进行K63泛素化修饰,随后PSMB4蛋白与LC3相互作用激活自噬溶酶体途径,诱导Nsp1α蛋白降解,抑制PRRSV的复制。该研究揭示了宿主蛋白PSMB4通过自噬溶酶体途径降解Nsp1α蛋白并抑制PRRSV复制的分子机制,为PRRSV疫苗的开发提供了理论依据。

猪繁殖与呼吸综合征病毒(Porcine reproductive and respiratory syndrome virus, PRRSV)可引起各年龄段猪的呼吸道疾病和母猪的繁殖障碍,给养猪业造成巨大的经济损失。近年来,全球不断有重组变异毒株出现,给PRRSV的有效防控带来巨大挑战,深入研究宿主蛋白与PRRSV病毒蛋白的互作机制有助于发现防控流行毒株的新策略。
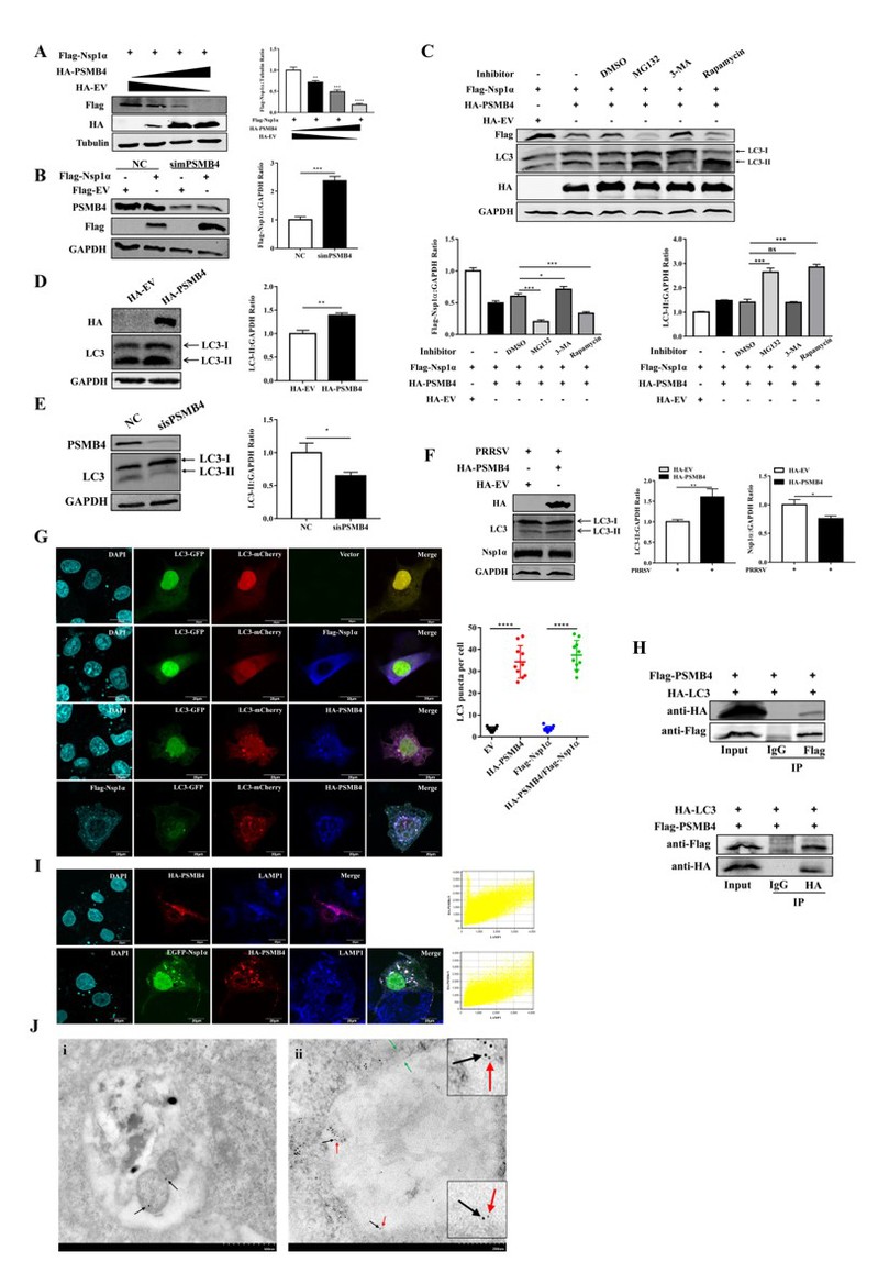
PRRSV非结构蛋白Nsp1α在病毒的复制与转录过程中发挥着重要的作用,但目前宿主蛋白与Nsp1α蛋白的相互作用及其调控PRRSV复制的分子机制仍不清楚。该研究通过酵母双杂交系统鉴定出与PRRSV Nsp1α蛋白互作的蛋白酶体亚基β4(Proteasome subunit beta type-4,PSMB4),将真核表达质粒HA-PSMB4与Flag-Nsp1α共转染HEK-293T细胞进行Wester blotting试验,发现随着PSMB4蛋白表达量的增加,Nsp1α蛋白水平降低,PSMB4蛋白与LC3相互作用,诱导细胞发生完全自噬,从而降解Nsp1α蛋白。

底物蛋白在自噬溶酶体途径降解的过程中,底物往往先经过泛素化修饰,然后被货物蛋白运送到溶酶体降解,而底物蛋白的泛素化修饰通常发生于赖氨酸(Lysine,K)残基。为了探明PSMB4诱导降解Nsp1α蛋白的分子机制。研究团队发现PSMB4蛋白靶向Nsp1α蛋白进行了K63泛素化修饰。为了确定具体赖氨酸残基修饰位点,团队进一步将Nsp1α蛋白上的3个赖氨酸位点(K117、K150、K169)分别点突变为丙氨酸(Alanine,A),发现PSMB4蛋白对Nsp1α-K169A突变体的K63泛素化修饰水平显著降低。

我校兽医学院2020级博士研究生易和友为第一作者,张桂红教授、王衡副教授为共同通讯作者。该研究获得“国家自然科学基金项目”(31872489,32102704)、“茂名实验室科研启动项目”(2021TDQD002)和“农业部生猪产业技术体系”(CARS-35)资助。
图文/兽医学院 凌韵岚
